Categoria: ortopedia
18 Posts
chirurgia della mano, ortopedia, reumatologia
Quando il pollice si blocca
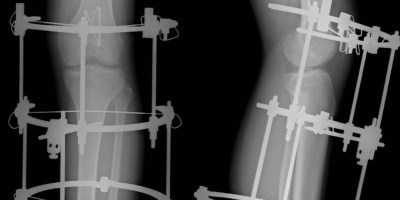
Allungare gli arti? Possibile
Osteoporosi? Da non sottovalutare
Osteoporosi, colpisce anche la colonna
Verso una terapia per l’osteosarcoma?
fisiatria, geriatria, medicina del dolore, neurologia, oncologia, ortopedia, reumatologia
Anziani, dolore cronico in crescita
Le patologie articolari nell’anziano
Il nostro sostegno
fisiatria, medicina dello sport, ortopedia
Crampi: gli inconvenienti dello sport
chirurgia, chirurgia della mano, ortopedia
Mano: trapianti e reimpianti
Sciatalgia, sintomi e regole
I 5 rimedi per il torcicollo
oncologia, ortopedia, pediatria
Cancro e adolescenza: una storia
alimentazione, ortopedia, reumatologia
Integratori? Anche per le ossa
Mal di schiena, dove e come sedersi
A cosa serve il taping?