Malattia genetica che colpisce una persona su 25mila, l’acondroplasia è caratterizzata da un mancato sviluppo armonico della cartilagine di accrescimento delle ossa degli arti con conseguenze sulla statura. Da decenni esiste una metodologia per incrementare l’altezza di questi soggetti e consentire loro un maggiore grado di autonomia: si tratta della tecnica Ilizarov, messa a punto dall’ortopedico russo Gavril Abramovič Ilizarov negli anni Cinquanta, permette di allungare femori, tibie e peroni (gambe) e omeri (braccia). Di cosa si tratta?

Di quanto è possibile “crescere”?

«Tutte le persone con acondroplasia possono beneficiarne», mi ha spiegato Alexander Kirienko, ortopedico all’Istituto clinico Humanitas di Rozzano (Milano) e allievo dello stesso Ilizarov. «Prima però vanno eseguiti accertamenti per escludere alterazioni a livello della colonna vertebrale. Possono essere necessari diversi interventi, fino a cinque, e ogni volta l’apparato deve essere portato per un periodo tra i 6 e gli 8 mesi». Con la tecnica Ilizarov si può arrivare a un aumento di statura di circa 30 centimetri e di 10 centimetri di lunghezza per le braccia.

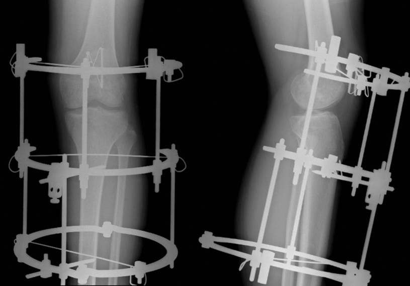
Come avvengono gli interventi

Gli interventi con tecnica Ilizarov consistono nel fissaggio di una struttura metallica attorno agli arti tramite fili e chiodi che attraversano le ossa. Dopo l’installazione sono eseguite microfratture chirurgiche nell’osso. Ogni giorno è il paziente stesso a manovrare il fissatore esterno accrescendo la distanza tra le parti fratturate di un millimetro al giorno così da stimolare l’osso alla naturale calcificazione e quindi all’allungamento. Insieme alla crescita dell’osso si allungano naturalmente anche le altre strutture contenute nell’arto: vasi, muscoli, tendini e nervi.

Complicanze e stile di vita

Come qualsiasi intervento, la tecnica Ilizarov può provocare effetti indesiderati: contratture delle articolazioni del ginocchio e della caviglia oppure infiammazione della cute, dei tendini e dei nervi. «Per questo è molto importante fare fisioterapia durante l’allungamento e camminare con il sostegno di stampelle», prosegue l’ortopedico. Durante il periodo in cui il paziente porta l’apparato è necessario seguire un’alimentazione adeguata e una terapia con antidolorifici. «È inoltre proibito fumare perché ciò rallenterebbe il processo di microcircolazione necessario alla ristrutturazione ossea».